
แพทย์แนะข้อควรปฏิบัติ ตรวจเจอฝ้าขาวที่ปอด อาจมีความเสี่ยงโรคมะเร็ง
ศัลยแพทย์ทรวงอก เผยตรวจสุขภาพแล้วพบฝ้าขาวผ่านฟิล์มเอกซเรย์ปอด มีความเสี่ยงหลายโรค ทั้งมะเร็ง-เนื้องอกธรรมดา ควรตรวจซ้ำพร้อมวินิจฉัยโดยแพทย์เพื่อความแม่นยำ
KEY
POINTS
- เมื่อตรวจพบฝ้าขาวที่ปอดจากฟิล์มเอกซเรย์ อย่าเพิ่งตกใจ ควรปรึกษาแพทย์เพื่อตรวจยืนยันด้วยเอกซเรย์คอมพิวเตอร์ (CT scan) ซึ่งให้ผลที่แม่นยำกว่า
- การทำ CT scan สามารถยืนยันได้ว่ามีก้อนเนื้อผิดปกติอยู่จริงหรือไม่ เนื่องจากภาพจากฟิล์มเอกซเรย์ทั่วไปอาจเป็นเพียงเงาที่ซ้อนทับกัน
- หาก CT scan พบว่ามีจุดที่ปอดจริง มีโอกาสเป็นมะเร็งเพียง 1% โดยสาเหตุอื่นอาจเป็นวัณโรคหรือเนื้องอกธรรมดา ซึ่งต้องให้แพทย์ผู้เชี่ยวชาญวินิจฉัยต่อไป
- แพทย์แนะนำการตรวจคัดกรองมะเร็งปอดด้วยเอกซเรย์คอมพิวเตอร์แบบใช้รังสีต่ำ (Low-dose CT) เนื่องจากมีความแม่นยำสูงและปลอดภัย
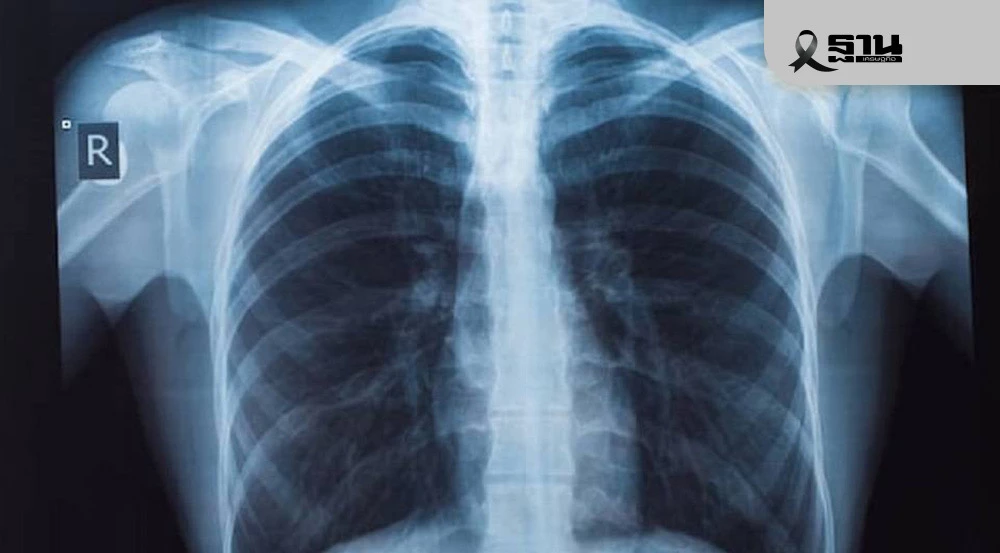
รศ.นพ.ศิระ เลาหทัย ศัลยแพทย์ทรวงอกจากศูนย์ผ่าตัดส่องกล้อง โรงพยาบาลวชิรพยาบาล กล่าวว่า เมื่อตรวจสุขภาพแล้วพบเจอฝ้าขาว จุดที่ปอด (lung nodule) โดยผลรังสีวินิจฉัยพบเจอความผิดปกติในฟิล์มเอกซเรย์ปอดแม้ไม่มีอาการผิดปกติใด สิ่งที่สำคัญที่สุด คือ อย่าเพิ่งตกใจ
เบื้องต้นต้องหาสาเหตุของจุดที่เกิดขึ้นว่ามีจริงหรือไม่ โดยวิธีการที่ดีที่สุดคือการทำเอกซเรย์คอมพิวเตอร์(CT scan) และไม่ควรที่จะทำเอกซเรย์ทั่วไปซ้ำเพราะไม่เกิดประโยชน์ เนื่องจากการทำฟิล์มเปรียบเสมือนการถ่ายภาพ 2 มิติ เห็นแค่ด้านหน้า-หลัง ส่งผลทำให้เกิดผลภาพลวงได้บ่อย
ดังนั้น หากเปรียบเทียบกับการทำเอกซเรย์คอมพิวเตอร์ จะช่วยให้เห็นรายละเอียดเป็นลักษณะของก้อนเนื้อว่าสงสัยมะเร็งมากกว่า เผยให้เห็นความผิดปกติว่ามีจริงหรือไม่ หากการทำเอกซเรย์คอมพิวเตอร์ CT scan ไม่มีจุดหรือไม่พบจุดใด อาจสามารถสรุปได้ว่า ภาพที่เห็นจากฟิล์มคือเงาที่ซ้อนทับกันเท่านั้น ใช้ชีวิตได้ปกติ แต่ต้องติดตามการตรวจสุขภาพประจำปีเสมอ
ในทางกลับกัน หากทำเอกซเรย์คอมพิวเตอร์แล้วเจอว่ามีจุดที่ปอดที่ปอดจริงๆ สาเหตุอาจเกิดได้จาก
- มะเร็ง (อาจจะเป็นมะเร็งปอดหรือมะเร็งจากที่อื่นกระจายมา)
- วัณโรค
- โรคอื่น ๆ เช่น เนื้องอกธรรมดาของปอด หรือ ในช่องทรวงอก
รศ.นพ.ศิระ กล่าวว่า ปกติเมื่อทำเอกซเรย์คอมพิวเตอร์ (CT scan) มักจะเจอจุดโอกาสเป็นมะเร็งแค่ 1% แนะนำควรเจอแพทย์ที่มีความเชี่ยวชาญ เพื่อจะดูความน่าจะเป็นหรือติดตามอาการอย่างใกล้ชิด หากแพทย์สงสัยว่าก้อนเนื้ออาจจะเป็นเนื้อร้าย การเอาชิ้นเนื้อไปตรวจจะเป็นสิ่งที่สำคัญที่สุดและทำได้หลายวิธี
ดังนั้น แนะนำการทำเอกซเรย์คอมพิวเตอร์ปอด (CT scan) ที่เป็นการฉายรังสีเอ็กซ์ไปที่ส่วนของหน้าอกหรือปอด แล้วภาพจากการฉายรังสีนั้นจะถูกบันทึกลงในแผ่นฟิล์มที่มีความละเอียดสูง ซึ่งแพทย์จะใช้ในการตรวจวินิจฉัยความสมบูรณ์ของอวัยวะภายใน ทั้งทรวงอก ปอด และโครงสร้างข้างเคียงได้อย่างชัดเจน
นอกจากนี้ ยังสามารถทำ Low dose CT การเอกซเรย์คอมพิวเตอร์ใช้รังสีต่ำ เพื่อใช้คัดกรองมะเร็งปอด เพราะเป็นการตรวจที่ง่ายและสามารถคัดกรองได้เบื้องต้นได้ดี ไม่เป็นอันตรายเพราะใช้รังสีที่มีปริมาณน้อย รูปแบบการทำงานของเครื่องเอกซเรย์ปอดจะใช้เพื่อให้ได้ภาพรังสีของภาพภายในปอดทั้งหมด ซึ่งปัจจุบันในประเทศไทยนิยมใช้ Low dose CT มากขึ้น สามารถภาพฉายรังสีถูกสแกนเป็นระบบดิจิตอล ทำให้ผู้ป่วยได้รับการวินิจฉัยที่แม่นยำมากขึ้น







