
"หมอมนูญ"เตือนห้ามปิดจมูกและปากขณะจามเด็ดขาด
"หมอมนูญ" เผยพบผู้ป่วยลมเข้าสมอง เพราะปิดจมูกปิดปากขณะจาม พร้อมเตือนประชาชนห้ามทำเด็ดขาด
นายแพทย์มนูญ ลีเชวงวงศ์ หัวหน้าห้องไอซียู เฉพาะทางด้านโรคระบบการหายใจ ผู้ป่วยหนัก และโรคผู้สูงอายุ ประจำโรงพยาบาลวิชัยยุทธ และประธานชมรมเชื้อราทางการแพทย์ประเทศไทย ออกมาเปิดเผยในเฟซบุ๊คว่าลมเข้าสมองจากการปิดจมูกปิดปากขณะจาม รายแรกของโลกเกิดขึ้น 2 ครั้งในเวลาห่างกัน 3 ปีกว่า
หมอมนูญบรรยายว่า "ผู้ป่วยหญิงไทยอายุ 85 ปี เป็นโรคเบาหวานและไขมันสูง เมื่อวันที่ 14 ธันวาคม 2559 มาโรงพยาบาลด้วยอาการพูดไม่ชัด นึกคำพูดไม่ออก หูข้างซ้ายอื้อ มีเสียงดัง หลังจากจามแล้วเอามือปิดจมูกปิดปากพร้อมๆกัน ได้ทำ MRI คลื่นแม่เหล็กสมอง พบมีลม (air pocket)ในเนื้อสมองข้างซ้ายขนาด 7 × 4 × 3.2 เซนติเมตร ให้การรักษาตามอาการ ผู้ป่วยดีขึ้นช้าๆ และกลับมาเป็นปกติ ทำคอมพิวเตอร์สมองซ้ำ ลมคงค่อยๆดูดซึมเข้าไปในกระแสเลือด หายไปเองภายใน 50 วัน ได้เตือนผู้ป่วยเวลาจามห้ามเอามือมาปิดจมูกและเม้มปากอีกเด็ดขาด
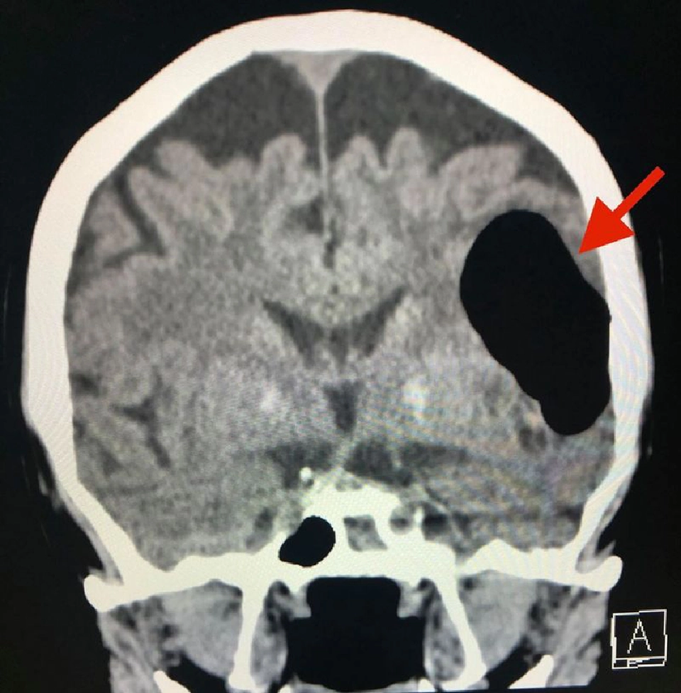
วันที่ 14 พฤษภาคม 2563 ผู้ป่วยกลับมารพ.อีกครั้งหลังจากจามแล้วเอามือปิดปากปิดจมูกเพราะไม่อยากให้มีเสียงดัง หลังทำมีอาการพูดไม่ชัด หน้าข้างขวาเบี้ยว หูข้างซ้ายอื้อ มีเสียงดัง ทำคอมพิวเตอร์สมองพบลม (air pocket) ในเนื้อสมองข้างซ้ายขนาด 5.1 × 4.1 × 2.8 เซนติเมตร (ดูรูป) ตำแหน่งเดิมเหมือนเมื่อ 3 ปี 5 เดือนก่อน แต่ปริมาตรของลมในเนื้อสมองครั้งนี้น้อยกว่า ผู้ป่วยนอนในโรงพยาบาล 4 วัน อาการดีขึ้นช้าๆ กลับบ้านได้
สาเหตุของลมเข้าสมองทั้ง 2 ครั้งของผู้ป่วยรายนี้ คือจามแล้วเอามือปิดจมูกปิดปากพร้อมๆกัน ปกติความแรงของการจามทำให้ลมพุ่งออกจากจมูกและปากด้วยความเร็วสูงถึง 110 กม/ชม เนื่องจากผู้ป่วยรายนี้ปิดจมูกปิดปากขณะจาม แรงดันในช่องปากคงสูงมาก ลมผ่านจากท่อในปากเข้าหูชั้นกลางด้านซ้าย แล้วดันทะลุผ่านกระโหลกใต้สมองเข้าเนื้อสมองด้านซ้าย
นอกจากลมจะรั่วเข้าสมองจากการบังคับไม่ให้จามออกทางปากและจมูกแล้ว ยังมีรายงานแรงดันสูงทำให้ปอดรั่ว แก้วหูทะลุ ผนังช่องคอทะลุ เส้นเลือดในสมองแตกได้อีกด้วย
เพราะฉะนั้นอย่าทำร้ายตัวเองด้วยการเอามือมาปิดจมูกและปากขณะจามเด็ดขาด






